GOHO AESTHETIC PROSTHESIS

심미보철치료란 무엇인가요?

심미보철치료는 심미적으로 불만족스러움을 느끼는 부분들을 수정하거나 교정하는 치료의 한 분야입니다. 치아가 돌출된 경우, 변색 또는 착색이 된 경우, 치아 모양이 일정하지 않은 경우에 보철(라미네이트, 크라운 등)로 치아를 아름다우면서도 건강하게 만드는 치료입니다. 

GOHO AESTHETIC PROSTHESIS

심미보철치료란 무엇인가요?

심미적으로 불만족스러움을 느끼는 부분들을 수정하거나 교정하여 치아를 아름답고 건강하게 만드는 치료입니다.

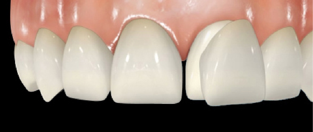
GOHO SPECIALITY

고호 심미보철치료의 특별함

TREATMENT TYPE

심미보철 종류


무삭제 라미네이트

얇은 보철물을 치아에 부착하는 치료입니다. 환자분의 치아 상태에 따라 최소한의 치아 삭제가 이루어질 수 있습니다.

✓ 치아 유사한 색상, 우수한 빛 투과율
✓ 우수한 내구성(부식, 변색 없음)과 내열성
✓ 금속에 버금가는 우수한 강도


올세라믹

치아를 전체적(앞과 옆, 뒷면)으로 삭제하고 삭제한 치아 위를 도자기 소재의 세라믹으로 덮어 씌우는 치료입니다.

✓ 자연치아와 가장 유사한 색상
✓ 변색에 강함, 형태 변화 적음
✓ 도자기 재질로 파절 가능성 있음


지르코니아

삭제한 치아 위를 생체 친화적 첨단 소재인 지르코니아로 덮어 씌우는 치료입니다.

✓ 자연치아와 가장 유사한 색상
✓ 우수한 빛 투과율과 내구성(부식, 변색 없음)
✓ 금속에 버금가는 우수한 강도


GOHO PROSTHESIS

고호 보철치료


GOHO PROSTHESIS

보철치료란 무엇인가요?

치아에 결손 부위가 생긴 상황에서 약해진 치아를 보호하거나, 주변치아까지 오염/손상 되지 않도록하며, 치아의 기능과 심미성을 되찾아주는 치료입니다.

GOHO SPECIALITY

고호 보철치료의 특별함

마지막까지 놓치지 않는 보철치료

보철치료는 경험과 노하우가 많은 보철과 전문의에게 치료를 받는 것이 좋습니다. 고호치과는 치료가 마무리되는 순간까지 환자가 만족할 수 있도록 완성도 높은 보철치료를 치과보철과 전문의가 책임진료합니다.

PROSTHESIS TYPE

보철치료 종류


인레이

충치부위 제거 후 본을 뜨고 그 부위를 수복해 줌으로써 본래 치아의 기능과 형태를 회복시켜줍니다.


크라운

치아색 혹은 골드로 치아 전체를 씌우는 보철을 말합니다. 근관치료 등 치아가 많이 손상되었을 경우, 치아에 깊은 금이 간 경우 크라운을 씌워 본래기능과 형태를 회복시켜줍니다.


브릿지

치아가 상실되었을 경우 다리처럼 상실부위 앞뒤의 치아를 연결하여 세개 이상 치아를 연결하는 방법을 말합니다. 빠른 시일내에 치아 상실을 회복할 수 있는 장점이 있습니다.


TREATMENT MATERIAL

보철치료 재료


지르코니아

지르코늄과 산소의 화합물로 가장 최근에 널리 사용되는 재료로 생체 친화적이면서 강도가 우수한 도자기 재료 입니다.

✓ 자연치아와 유사한 색상
✓ 우수한 내구성(부식, 변색없음) 및 내열성


이맥스

세라믹의 일종으로 주로 부분적인 치아 손상 부위를 회복할 경우, 또는 라미네이트와 같은 심미적인 보철치료에 사용됩니다.

✓ 자연치아와 유사한 색상


전통적인 재료로 크라운치료에 아직까지 널리 사용됩니다. 치아삭제를 최소로 하고자 하는 경우에 적절하게 사용될 수 있습니다.

✓ 우수한 연성 및 전성
✓ 우수한 내구성 및 성형 용이


GOHO AESTHETIC PROSTHESIS SPECIALITY

고호 심미보철치료의 특별함

TREATMENT TYPE

심미보철 종류


무삭제라미네이트

라미네이트보다 얇은 보철물(최소 0.2mm)을 치아에 부착하는 치료입니다.
치아를 삭제하지 않는 것이 일반적이나 환자분의 치아 상태에 따라 0.2mm이하의 치아 삭제가 이루어질 수 있습니다.

특징


자연치아 유사한 색상, 우수한 빛 투과율 | 우수한 내구성(부식, 변색없음)
금속에 버금가는 우수한 강도 | 우수한 내열성


올세라믹

치아를 전체적(앞과 옆, 뒷면)으로 삭제하고 삭제한 치아 위를 도자기 소재의 세라믹으로 덮어 씌우는 치료입니다.

특징


자연치아와 가장 유사한 색상 | 변색에 강함
형태 변화 적음 | 도자기 재질로 파절 가능성 있음


지르코니아

삭제한 치아 위를 생체 친화적 첨단 소재인 지르코니아로 덮어 씌우는 치료입니다.

특징


자연치아 유사한 색상, 우수한 빛 투과율 | 우수한 내구성(부식, 변색없음)
금속에 버금가는 우수한 강도 | 우수한 내열성


GOHO PROSTHESIS

보철치료란 무엇인가요?

충치 치료를 했거나 치아가 깨졌을 때, 빠졌을 때 등 치아에 결손 부위가 생긴 상황에서 약해진 치아를 보호하거나, 주변치아까지 오염/손상 되지 않도록하며, 치아의 기능과 심미성을 되찾아주는 치료입니다.

GOHO SPECIALITY

고호 보철치료의 특별함

mobile background

보철은 치과치료의 마지막 단계이며 그만큼 꼼꼼한 마무리와 지속적인 관리가 중요합니다. 또한 음식을 씹는 것에 직접적으로 영향을 미치기 때문에 그만큼 섬세한 작업이 필요하며, 경험과 노하우가 많은 보철과 전문의에게 치료를 받는 것이 좋습니다.
고호치과는 치료가 마무리되는 순간까지 환자가 만족할 수 있도록 완성도 높은 보철치료를 치과보철과 전문의가 책임진료합니다.

PROSTHESIS TYPE

보철치료 종류


인레이 

우식의 범위가 넓거나 씹는 힘이 강한 어금니 부위에는 레진, 세라믹, 골드 등이 인체에 무해합니다. 해당 재료로 충치부위 제거 후 본을 뜨고 그 부위를 수복해 줌으로써 본래 치아의 기능과 형태를 회복시켜줍니다.


크라운

치아색 혹은 골드로 치아 전체를 씌우는 보철을 말합니다. 근관치료 등 치아가 많이 손상되었을 경우, 깊은 금이 간 경우 크라운을 씌워 본래기능과 형태를 회복시켜줍니다. 또한 부정 교합, 외상성 교합이 있는 경우 크라운 치료를 통해 치아의 수명을 늘릴 수 있습니다. 


브릿지

치아가 상실되었을 경우 다리처럼 상실부위 앞뒤의 치아를 연결하여 세개 이상 치아를 연결하는 방법을 말합니다. 전신질환등으로 임플란트가 어렵거나 임플란트에 대한 거부감이 큰 경우 빠른 시일내에 치아 상실을 회복할 수 있는 장점이 있어 고려됩니다.


TREATMENT MATERIAL

보철치료의 재료

지르코니아

지르코늄과 산소의 화합물로 가장 최근에 널리 사용되는 재료로 생체 친화적이면서 강도가 우수한 도자기 재료 입니다. 자연치아 유사한 색상을 가지며 우수한 내구성(부식, 변색없음) 우수한 내열성이 있습니다.



이맥스

리튬 디실리케이트(LS2) 글라스-세라믹으로 자연치와 유사한 심미적인 장점이 있습니다. 주로 부분적인 치아 손상부위를 회복할 경우, 또는 라미네이트와 같은 심미적인 보철치료에 사용됩니다.



전통적인 재료로 크라운치료에 아직까지 널리 사용됩니다. 연성과 전성이 우수하며, 강하면서 잘 비벼지는 장점이 있습니다.
치아삭제를 최소로 하고자 하는 경우에 적절하게 사용될 수 있습니다.



  • 전화문의

  • 네이버예약

  • 카톡상담

  • 블로그


예약문의

031-896-2882


진료 스케줄

평일
목요일
토요일
점심시간

09:30 - 18:30
14:00 - 20:30 (야간진료)
09:30 - 14:00
13:00 - 14:00

*토요일 진료 시 점심시간 없이 진료


오시는 길

경기도 용인시 수지구 만현로 82-4, 헤르메스상가 3층


주차안내

주차 할인권 제공


의료기관명 : 고호치과의원 | 대표원장 : 추승식
사업자등록번호 : 816-38-01256 | 대표전화 : 031-896-2882
주소 : 경기도 용인시 수지구 만현로 82-4, 헤르메스상가 3F
© 2023 고호치과의원. All Rights Reserved.


전화번호

031 - 896 - 2882


진료 스케줄

평일

목요일

토요일

점심시간

09:30 - 18:30

14:00 - 20:30  *야간진료

09:30 - 14:00  *점심시간 없이 진료

13:00 - 14:00


오시는 길

경기도 용인시 수지구 만현로 82-4, 헤르메스상가 3층


주차안내

주차 할인권 제공


진료예약


고호치과의원  |  대표자 : 추승식  |  사업자등록번호: 816-38-01256  |  전화번호 : 031-896-2882  |  팩스번호 : 031-896-2881  | 이메일 : choo7466@hanmail.net

주소 : 경기도 용인시 수지구 만현로 82-4, 헤르메스상가 3층  © 2023 고호치과의원 All Rights Reserved.